EN | 中文

Advanced Dental Clinic Johor Bahru – Aisaa Dental Introduces Microscope Root Canal Treatment

At Asiaa Dental, we believe advanced technology improves patient outcomes. As an advanced dental clinic Johor Bahru, we are proud to introduce Microscope Root Canal Treatment, a highly precise endodontic procedure designed to improve accuracy, reduce complications, and enhance long-term success.

Microscopic dental treatments represent the next evolution in modern dentistry — especially for complex and retreatment cases.

If you are experiencing persistent tooth pain, reinfection, or have been advised to undergo root canal therapy, this advanced approach offers greater precision and predictability.

What Is Microscope Root Canal Treatment?

Microscope Root Canal Treatment is an advanced endodontic procedure performed using a dental operating microscope that provides 20–25x magnification and enhanced illumination.

This technology allows the dentist to clearly visualize:

  • Tiny accessory canals

  • Narrow or curved canal systems

  • Calcified canals

  • Hairline cracks in the tooth

  • Hidden or persistent infection

  • Complex root canal anatomy

Traditional root canal treatment relies on direct vision or basic magnification. However, many canals are microscopic in size and can be easily missed without advanced visualization.

By using microscopic dental technology, we significantly improve treatment accuracy and reduce the risk of reinfection.

How Does a Root Canal Infection Occur?

Understanding the cause helps patients make informed decisions.

Inside every tooth is soft tissue called the pulp, containing nerves and blood vessels. When bacteria enter the pulp due to:

  • Deep dental decay

  • Cracks or fractures

  • Trauma to the tooth

  • Failed previous treatment

the pulp becomes infected.

If untreated, this can lead to:

  • Severe tooth pain

  • Swelling

  • Abscess formation

  • Bone infection around the root

Root canal therapy removes the infected pulp, disinfects the canal system, and seals the tooth to prevent further infection.

Microscopic assistance ensures this process is thorough and precise.

Why Traditional Root Canal Treatments Sometimes Fail

While conventional root canal treatment is effective in many cases, failure can occur due to:

  • Missed canals

  • Incomplete disinfection

  • Complex canal anatomy

  • Poor sealing of the canal

  • Undetected cracks

Even a tiny untreated canal can harbor bacteria and cause reinfection.

Microscope-assisted root canal treatment dramatically reduces these risks by improving visualization and canal detection.

Step-by-Step: How Microscope Root Canal Treatment Is Performed

At our advanced dental clinic Johor Bahru, the procedure follows a structured and precise protocol:

1️⃣ Diagnosis & Digital Evaluation

Clinical examination and imaging to assess infection and canal complexity.

2️⃣ Local Anesthesia

Ensures the procedure is comfortable and pain-free.

3️⃣ Isolation of the Tooth

A rubber dam is placed to maintain a sterile field.

4️⃣ Microscopic Canal Access

The dental microscope is used to locate all canal openings.

5️⃣ Precision Cleaning & Disinfection

Infected pulp tissue is removed, and canals are thoroughly disinfected.

6️⃣ Sealing the Canal System

The cleaned canals are sealed using biocompatible materials to prevent reinfection.

7️⃣ Final Restoration

The tooth is restored with a crown if necessary to ensure strength and durability.

Each step is enhanced by magnification and illumination, improving clinical outcomes.

The Most Common Question: “Doctor, Which One Is Better?”

Greater Precision and Accuracy

High magnification allows detailed visualization of the internal tooth structure.

More Complete Cleaning

Accessory canals and hidden infection areas are thoroughly disinfected.

Higher Treatment Success Rate

Improved detection reduces retreatment cases and long-term complications.

Minimally Invasive Approach

Minimally Invasive Approach

Improved Retreatment Outcomes

Microscopic visualization significantly increases success in previously failed root canal cases.

For patients seeking precision root canal treatment in Johor Bahru, this approach offers measurable clinical advantages.

Who Should Consider Microscope Root Canal Treatment?

Microscope-assisted root canal therapy is especially recommended for:

  • Complex root canal cases

  • Retreatment of failed root canals

  • Narrow or curved canals

  • Calcified canals

  • Persistent tooth pain

  • Suspected hidden infection

  • Teeth with micro-cracks

If you are searching for an experienced endodontic specialist Johor Bahru, advanced microscopic technology enhances both diagnosis and treatment accuracy.

Is Microscope Root Canal Treatment Painful?

No. The procedure is performed under local anesthesia and is comparable in comfort to conventional root canal therapy.

Modern endodontic techniques focus on:

  • Controlled instrumentation

  • Advanced irrigation systems

  • Minimally invasive access

Most patients report relief from pain once the infection is treated.

How Is Microscope Root Canal Different from Traditional Treatment?

Traditional Root Canal Microscope Root Canal
Limited visibility 20–25x magnification
Risk of missed canals Enhanced detection
Standard illumination Superior lighting
Moderate precision High precision endodontics
Higher retreatment risk Improved long-term success

This difference is particularly critical in retreatment cases.

Why Choose Aisaa Dental – Advanced Dental Clinic Johor Bahru?

At Aisaa Dental, we focus on:

  • Modern dental operating microscope

  • Evidence-based endodontic procedures

  • Strict sterilization protocols

  • Continuous clinical training

  • Patient-centered treatment planning

Our goal is to provide modern dental technology in Johor Bahru that meets international treatment standards.

By investing in microscopic dental treatments, we ensure our patients receive advanced, safe, and reliable care.

What Makes a Dental Operating Microscope Clinically Advanced?

A dental operating microscope is not just magnification equipment — it is a precision diagnostic and treatment tool used in advanced endodontics.

Key clinical advantages include:

  • Adjustable magnification levels (up to 25x)

  • Coaxial illumination for shadow-free visibility

  • Enhanced depth perception

  • Improved ergonomic positioning for the dentist

  • High-definition visualization of canal anatomy

This level of optical enhancement allows more controlled instrumentation and accurate canal shaping.

For patients searching for modern dental technology Johor Bahru, this advancement ensures international-standard care.

How Microscopic Dentistry Improves Long-Term Tooth Survival

The primary goal of root canal treatment is not just pain relief — it is long-term tooth preservation.

Microscopic dental treatments improve tooth survival because:

  • All canals are located and treated

  • Infection is thoroughly disinfected

  • Sealing is more precise

  • Structural integrity of the tooth is preserved

Studies in endodontics show that treatment success largely depends on thorough canal cleaning and proper sealing — both enhanced by magnification.

This makes microscope-assisted therapy a long-term investment in oral health.

When Is Root Canal Retreatment Necessary?

Root canal retreatment may be required if:

  • Pain persists after previous treatment

  • Swelling or abscess develops

  • A missed canal was untreated

  • A crown leaks and bacteria re-enter

  • Infection reappears on X-ray

Retreatment is often more complex than initial treatment. Using a microscope significantly improves the chances of identifying hidden causes of failure.

If you are looking for root canal retreatment Johor Bahru, advanced visualization plays a crucial role in success.

How Microscopic Root Canal Treatment Supports Minimally Invasive Dentistry

Minimally invasive dentistry focuses on preserving as much natural tooth structure as possible.

With enhanced magnification:

  • Access openings are smaller and more precise

  • Healthy dentin is preserved

  • Cracks are detected early

  • Over-instrumentation is avoided

Preserving natural tooth structure improves long-term strength and durability.

For patients concerned about tooth preservation, microscopic dental treatments provide a conservative and controlled approach.

Is Microscope Root Canal Worth It?

Yes, microscope root canal treatment is worth it — especially for complex or retreatment cases.

It provides:

  • Higher treatment accuracy

  • Reduced risk of missed canals

  • Better long-term outcomes

  • Improved retreatment success

  • Greater preservation of natural tooth structure

While it may involve advanced technology costs, it often prevents future complications, making it a cost-effective long-term solution.

Patients searching for an advanced dental clinic Johor Bahru often choose microscopic treatment for its precision and predictability.

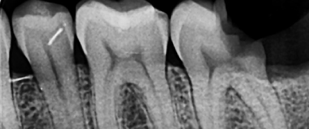
Clinical Case Study: Microscope-Assisted Root Canal Treatment of Tooth 37

Patient History

A 38-year-old Indian male visited our clinic with a complaint of toothache in the lower left back tooth region.

The pain started a few weeks ago and had progressively worsened. It was continuous and throbbing in nature, with a history of nocturnal pain. The patient reported temporary relief after taking painkillers.

Clinical Examination

On examination, deep caries was noted on distal 37.

A periapical radiograph was taken, and treatment options were discussed. The patient agreed to undergo endodontic therapy for tooth 37.

Radiographic Examination :

Radiographs and clinical pictures during the treatment :

Master cone GP PA

Post-op xray.

The Challenges in This Case

  • 1.Limited mouth opening, making access difficult

  • 2.Variable root canal anatomy

  • 3.Difficulty in sealing the coronal portion of the tooth, especially the distal margin

Microscope Advantages in This Case

MICROSCOPIC PICTURE :

MESIAL CANALS

MESIAL AND DISTAL CANALS

The dental operating microscope provided significant advantages during treatment:>

  • 1.Better visualization helped reduce excessive dentin removal

  • 2.Confirmation of complete pulp chamber debridement

  • 3.Improved ability to locate the canals

Treatment Procedure and Radiographic Documentation

Radiographs and clinical pictures were taken during treatment, including:

  • Master cone GP periapical radiograph

  • Post-operative X-ray

  • Microscopic images of mesial canals

  • Microscopic images of mesial and distal canals

  • Images captured during the obturation step

After obturation, the tooth was fully restored with composite. The patient is yet to receive a crown.

Meet the Treating Dentist – Dr. Sruthi Krishna Performing Microscope Root Canal Treatment

At Aisaa Dental, advanced care is delivered by experienced professionals using modern dental technology.

In this featured clinical video, Dr. Sruthi Krishna is seen performing a microscope-assisted root canal treatment using a high-magnification dental operating microscope. This advanced approach allows enhanced visualization of complex canal anatomy, helping ensure precise cleaning and accurate sealing of the root canal system.

As part of our commitment to being an advanced dental clinic Johor Bahru, Dr. Sruthi integrates microscopic dental treatments into routine and complex endodontic procedures.

Clinical Expertise in Action

During the procedure, the dental microscope enables:

  • Detailed visualization of tiny root canals

  • Detection of hidden infection

  • Controlled instrumentation

  • Conservative tooth structure preservation

  • Enhanced disinfection accuracy

This level of precision is particularly beneficial in retreatment and complex cases.

The video demonstrates our real clinical environment, sterilization protocol, and technology-driven approach — reinforcing our dedication to safe, evidence-based dentistry.

Advancing Endodontic Care in Johor Bahru

Microscope-assisted endodontics represents the future of precision dentistry. By combining clinical expertise with high-magnification technology, complex root canal treatments can be performed with greater accuracy, improved infection control, and long-term tooth preservation.

At Aisaa Dental, our focus on advanced endodontic protocols strengthens our position as an advanced dental clinic Johor Bahru, offering microscopic dental treatments designed for safety, predictability, and patient confidence.

Choosing modern technology today helps protect your natural teeth for years to come.

Let’s Protect Your Natural Tooth the Right Way

Tooth pain can be stressful — especially if you’ve already had a root canal before. The good news is that dentistry has advanced significantly. With microscope-assisted root canal treatment, we can now see what was once invisible, treat infections more precisely, and help preserve your natural tooth with greater confidence.

At Aisaa Dental, we believe you deserve care that combines experience, technology, and genuine attention to detail. As an advanced dental clinic Johor Bahru, our goal is simple — to provide safer, more predictable, and long-lasting solutions through microscopic dental treatments.

If you’re unsure whether you need treatment, or if you’ve been told you need a complex or repeat root canal, we’re here to guide you step by step.

Let’s take care of your smile with precision and care.

📞 Book your consultation today and experience the difference.

FAQs

What is microscope root canal treatment?

Microscope root canal treatment is an advanced endodontic procedure performed using a high-magnification dental operating microscope. It helps dentists detect tiny canals, hidden infections, and complex root anatomy, improving precision and long-term success rates.

Is microscope root canal better than conventional root canal treatment?

Yes. Microscope-assisted root canal treatment provides enhanced visibility and illumination, reducing the risk of missed canals and incomplete cleaning. It is especially beneficial for complex or retreatment cases.

Who needs microscope root canal treatment?

Microscope root canal treatment is recommended for patients with complex canal anatomy, narrow or curved canals, failed previous root canals, persistent tooth pain, or suspected hidden infection.

How much does microscope root canal treatment cost in Johor Bahru?

The cost depends on the tooth type, canal complexity, and whether it is a retreatment case. Advanced technology may involve slightly higher fees but improves treatment accuracy and long-term value.

Where can I get microscope root canal treatment in Johor Bahru?

You can receive microscopic dental treatments at Aisaa Dental, an advanced dental clinic Johor Bahru equipped with modern endodontic technology and precision dental operating microscopes.

Accepted Cards & Wallets

Go Back Top